Reveal Skin Studio Photos










Reveal Skin Studio Introduce
For residents of Tulsa and the surrounding Oklahoma area struggling with persistent skin concerns, finding a dedicated and knowledgeable expert can be a life-changing experience. Reveal Skin Studio has become that beacon of hope for many. This isn't just a place to get a facial; it is a specialized clinic where a licensed aesthetician and certified acne specialist, Nicole McGinnis, dedicates her expertise to helping clients achieve clear, healthy, and confident skin. The reviews from real customers speak volumes, with one client expressing such gratitude they were moved to tears, stating that Nicole's customized routine was a "game changer." This personalized and results-driven approach is the core of Reveal Skin Studio's philosophy, setting it apart as a trusted and effective local resource.
The success of Reveal Skin Studio is deeply rooted in Nicole's extensive experience and commitment to her clients. With over two decades in the industry, she has a profound understanding of various skin types and the complexities of conditions like acne. She believes that every individual is unique, and so is their skin, which is why she rejects a one-size-fits-all approach. Instead, she works closely with each client to develop a treatment plan and home care regimen that is specifically tailored to their needs. This diligent and individualized care is what a second customer highlighted, praising Nicole's attention to detail and her ability to "individualize each experience." Beyond her technical skills, clients appreciate her willingness to educate them, explaining each step and product in the process. This empowers clients and builds a foundation of trust, making them confident in their skin care journey. This level of expert, compassionate care is precisely what makes Reveal Skin Studio a perfect fit for Oklahomans looking for real, lasting solutions.
Convenience and accessibility are key for any local business, and Reveal Skin Studio is well-positioned to serve the Tulsa community. The clinic is located at 8242 S Harvard Ave Suite C, Tulsa, OK 74137, USA. This address places it in a prime, easily accessible part of the city, making it a simple destination for residents from various parts of the Tulsa metropolitan area and its surrounding suburbs. The location on South Harvard Avenue is a well-known thoroughfare, which simplifies the travel for clients. The clinic is situated in the Walnut Creek Office Complex, a garden-style office park where you can drive directly up to the suite door. This ease of access, combined with a reputation for quality, makes Reveal Skin Studio a practical and reliable choice for anyone in the region seeking professional skin care. The studio operates by appointment only, ensuring dedicated and uninterrupted time for each client.
Reveal Skin Studio offers a focused menu of services that are designed to treat and rejuvenate the skin. Nicole's expertise in acne treatment is a major highlight, but she also provides a range of anti-aging and general skin care options. Her ability to customize treatments for each client's unique needs ensures that the results are always top tier.
Services Offered:
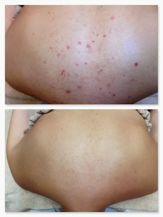
- Acne Treatment Program: This is a highly effective, personalized program designed to achieve clear skin. It involves mild chemical peels or enzyme treatments, combined with a custom-tailored home care regimen. Treatments are typically scheduled every two weeks, with real client results often seen within three to four months.
- Chemical Peels: A full range of chemical peels is offered, which are used to address various concerns from acne and hyperpigmentation to anti-aging. Nicole is an expert in layering and tailoring these peels for the best results, as she explains that the benefit is not directly correlated to the amount of peeling.
- Microdermabrasion: A non-invasive procedure that uses a fine spray of crystals or a diamond tip to exfoliate the skin, stimulating new cell growth and improving overall skin tone and texture.
- Other Aesthetic Services: In addition to acne and anti-aging treatments, Nicole offers a variety of other aesthetic services in a relaxing studio atmosphere. These services can be customized to suit individual needs.
- Advanced Treatments: The studio has also integrated advanced treatments like micro-channeling with ProCell growth factor serum, which is highly effective in fighting stubborn acne scarring and promoting new collagen production. The BioRePeel facial peel is also offered, a summer-safe product that combats fine lines, wrinkles, and pigmentation with minimal downtime.
What makes Reveal Skin Studio a standout choice for Oklahomans are the key features and highlights that set it apart from other clinics.
Features / Highlights:
- Acne Specialist and Expert Esthetician: Nicole McGinnis is a licensed aesthetician with over 20 years of experience and is a certified acne specialist. Her deep knowledge and specific focus on acne treatment make her a trusted expert in the field.
- Personalized and Customized Approach: As noted by a client, Nicole "individualizes each experience." This means treatments and product recommendations are never one-size-fits-all but are instead designed for the unique needs of each person's skin.
- Focus on Client Education: Nicole takes the time to explain each step of the process and the purpose of each product, empowering her clients to understand their skin and maintain their results at home. She can even offer a list of acne-safe makeup.
- Results-Driven Care: The clinic's website showcases real client results achieved within a few months, demonstrating the effectiveness of the treatment programs. This focus on tangible outcomes is a major draw for clients who have "tried everything" without success.
- Relaxing and Professional Atmosphere: The studio is described as having a "top tier" atmosphere that is "so relaxing." This comfortable and inviting environment enhances the overall client experience.
To schedule an appointment and begin your journey toward clearer, healthier skin, you can contact Reveal Skin Studio directly.
Contact Information:
- Address: 8242 S Harvard Ave Suite C, Tulsa, OK 74137, USA
- Phone: (918) 855-7363
Nicole is ready to answer your questions and help you reveal your confidence today.
For residents of Tulsa and the surrounding Oklahoma area, Reveal Skin Studio is an ideal choice for anyone struggling with acne or looking for advanced, personalized skin care. Its suitability for locals lies in its convenient location, expert-led services, and a deep commitment to providing individualized care that yields real results. The overwhelming positive reviews, especially from clients who have experienced a "major confidence impact," highlight the transformative power of Nicole's work. By offering a specialized approach to acne and a range of effective anti-aging treatments, Reveal Skin Studio provides a level of quality and trust that is hard to find. For Oklahomans seeking an expert partner to help them achieve clear, healthy skin and renewed confidence, this clinic offers the perfect combination of professional expertise and a personal touch.
Reveal Skin Studio Services
Skin Care Clinic
- Acne Clinic
- Acne Facial
- Acne Medicine
- Acne Peel
- Acne Reduction
- Acne Safe Skincare
- Acne Treatment Program
- Adult Acne Treatment
- Aesthetic Treatments
- Aging Treatments
- Anti-aging treatments
- Back Acne Treatment
- Back Treatment
- BioRePeel
- Chemical Exfoliation
- Chemical Peels
- Chemical Peels Skin
- Clear Skin Acne Treatment
- Corrective Facial
- Customized Facial Treatments
- Customized Skin Care
- Enzyme Peels
- Eyebrow And Eyelash Tinting
- Face
- Face Reality Skincare
- Facial Treatments
- Glowing Skin
- Lightwave LED
- Micro-channeling
- Microdermabrasion
- Other Aesthetic Services
- Oxygeneo Facial
- Pore Clear
- ProCell
- Professional Chemical Peel
- Pumpkin Facial
- Relaxing Facial
- Roccoco Botanicals Keratozyme Treatment
- Rosacea Treatment
- Skin Care Products
- Skin Care Programs
- Skin Classic
- Skin Disorder
- Skin Specialist
- Skin Tags
- Spa Facial
- Superficial Chemical Peel
Reveal Skin Studio Details
From the business
- Identifies as women-owned
Accessibility
- Wheelchair accessible entrance
- Wheelchair accessible parking lot
- Wheelchair accessible restroom
Amenities
- Restroom
Planning
- Appointment required
- Appointments recommended
Payments
- Credit cards
- Debit cards
Reveal Skin Studio Location
Reveal Skin Studio
8242 S Harvard Ave Suite C, Tulsa, OK 74137, USA
Reveal Skin Studio Reviews
chemical peelsconfidence
★ 5★ 4★ 3★ 2★ 1Nicole there aren't enough words to thank you for being such an amazing esthetician i could cry tears of joy as i'm typing this because I remember trying everything to make my skin better and nothing worked till i found you. You definitely made a major confidence impact in my life and i'm so grateful for that i sincerely look up to you in the industry i definitely recommend this place to anyone struggling with acne your customized routine has been a game changer your service is top tier and the atmosphere is so relaxing God Bless you and your business 💗
Jan 19, 2023 · Stephanie ReyesNicole helped to clear my skin with simple methods and a good routine. She diligently pays attention to details and individualizes each experience. I knew that I was receiving knowledgeable care and using good products because she took time to explain each step and product in her process. I highly recommend going to Reveal Skin studio if your skin is struggling with acne or any sort of trouble! Thank you Nicole!!
Mar 09, 2024 · Emma MatthewsI thought that I had hormonal acne on my chin due to birth control and could not find anything to get rid of it. Reveal skin has completely changed my skin for the better. I have never had as clear of skin in my life. Turns out I did not have hormonal acne, but just needed to have proper extractions and amazing skin care. She keeps my routine simple and easy to do morning and night. I cannot thank reveal skin enough for giving me clear, bright and glowing skin! I recommend Nicole to anyone and everyone! She will give you the skin of your dreams! -Chloe brault
Dec 07, 2023 · Brault Babes OrganizationNicole is a veritable guru for the skin and its health. I had a tough time with premenopausal acne and had never had issues before I hit my 50’s, so I was at a loss. A friend of mine found her, recommended her highly, and the rest is history. Before long, my skin was performing much better, looking and feeling great again. I am so thankful for her! She is like a mad scientist of skin! You will be very pleased with your results. Highly recommend!
Nov 29, 2023 · Michele RossNicole is AWESOME!! she pays attention to detail and makes sure she’s getting the right product for your skin! She is excellent at her job! I believe its truly her gift! My skin has never looked so good! She has helped my acne when nothing else helped and now she is helping me with facials to minimize wrinkling, etc.. She always takes her time and educates me about the products! Her new shop is amazing!! Don’t wait …you’ve got to get into see her…you won’t be sorry!!!
Feb 10, 2023 · LOTTIE KANNADY
More Skin Care Near Me
Clinical Care Skin Solutions5.0 (3 reviews)8242 S Harvard Ave # B, Tulsa, OK 74137, USA
Dermabliss Skincare By Jean Anne5.0 (2 reviews)5353 E 68th St, Tulsa, OK 74136, USA
Skincare By Stacey B5.0 (25 reviews)6218 S Lewis Ave Ste 104, Tulsa, OK 74136, USA
Ease Esthetics & Massage0.0 (0 reviews)3562 E 51st St, Tulsa, OK 74135, USA
Renueva Skin Care LLC5.0 (10 reviews)3015 E Skelly Dr Suite 2065-B, Tulsa, OK 74105, USA
My Esthetician LLC0.0 (0 reviews)8310 E 73rd St Suite 102, Tulsa, OK 74133, USA
Facials by Melissa0.0 (0 reviews)5840 S Memorial Dr Suite 318, Tulsa, OK 74135, USA
Ginger & Rose Esthetics0.0 (0 reviews)7715 E 111th St #113, Tulsa, OK 74133, USA
Nu00e9e Butta5.0 (21 reviews)5332 S Memorial Dr Suite 100, Tulsa, OK 74145, USA
Epiphany Dermatology4.0 (1108 reviews)10115 E 80th St Ste A, Tulsa, OK 74133, USA
Utica Square Skin Care LLC5.0 (68 reviews)1325 E 35th St suite b, Tulsa, OK 74105, USA
Koory Organics5.0 (15 reviews)4618 E 31st St, Tulsa, OK 74135, USA
Categories
Top Visited Sites
Shinique Esthetics5.0 (142 reviews)
Derma Healing Solutions5.0 (33 reviews)
SKINbySabrina5.0 (15 reviews)
MB Aesthetics5.0 (19 reviews)
Hello Beautiful Skin Care by Jean Williamson5.0 (1 reviews)
Gypsy's Lash Den4.0 (15 reviews)Trending Skin Care Blog Posts
How To Achieve Face Masks To Improve Age Spots
How To Use Face Masks To Improve Whiteheads Effectively
Ultimate Guide to Face Masks to Improve Acne
How to Get Rid of Uneven Skin Tone for People Living in Dry Climates
How To Choose the Right Solution for Your Redness With These 7 Tips
How To Avoid Sensitive Skin: What You Need To Know for Healthier Skin 
